Veterinary nurse’s role in ultrasound.

What can nurses do?

In recent years, the role of veterinary nurses has evolved significantly, with many practices now taking a more proactive approach to utilising their skills to the full extent permitted by schedule 3.

Schedule 3 scope for veterinary nurses:

Registered veterinary nurses (RVNs) may perform delegated procedures under the direction of a veterinary surgeon. The vet remains responsible for diagnosis, case management, and interpretation of imaging findings. Permissible tasks include administering treatments, performing minor procedures not entering body cavities, and conducting focused ultrasound scans. Nurses do not make a diagnosis or prescribe; they acquire images and structured observations for the vet to interpret.

What does this mean in practice?

The main practical use of nursing skills is in monitoring and triage of emergency patients. The key point is to alert the team to potential serious problems that may need immediate attention.

Monitoring can include things like bladder volumes and urine production, monitoring fluid build up - worsening or formation of effusions or bleeding in hospitalised cases.

Focused ultrasound protocols — including AFAST, TFAST, and VetBLUE — are increasingly used during emergency triage to guide rapid decision-making. These protocols require learning but once learnt can be done quickly and provide very important information which can sometime be life saving.

Repetition is key to mastering these skills. Just as IV access and oxygen therapy are prioritised immediately in any emergency case, having ultrasound equipment ready to perform AFAST and TFAST protocols can also be prioritised to streamline rapid assessment

Pericardial effusion in a dog.

TFAST

Thoracic focused assessment: Primary aim is rapid identification of pleural or pericardial effusion and pneumothorax. It supports decisions on thoracocentesis, pericardiocentesis, oxygen therapy, and monitoring. Core windows include pericardial site (PS), pleural sites (PL), and diaphragmatico‑hepatic interface. Reporting involves binary calls (positive/negative effusion or pneumothorax by site and overall TFAST), artefact documentation (sliding, B‑lines, lung point, curtain sign), and escalation to the vet with clips for drainage or monitoring.

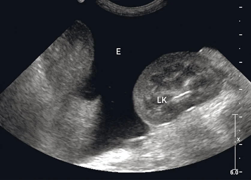
Abdominal fluid next to the left kidney in a dog.

VetBLUE

VetBLUE® (Veterinary Bedside Lung Ultrasound Exam) is a focused, region‑based lung ultrasound protocol designed for rapid assessment of respiratory patients. Adapted from human medicine’s BLUE protocol, VetBLUE allows clinicians to evaluate lung fields at specific intercostal sites, identifying patterns such as B‑lines, shred signs, and pleural irregularities. This structured approach provides immediate insight into conditions like pulmonary edema, pneumonia, neoplasia, or pleural disease, often with greater sensitivity than radiographs. Because the exam is quick, non‑invasive, and repeatable, it has become an invaluable tool in emergency and critical care, enabling veterinary teams to triage patients, monitor progression, and guide interventions in real time

Veterinary nurses are now recognised as essential contributors to diagnostic workflows in emergency and critical care. By performing focused ultrasound protocols such as AFAST, TFAST, and VetBLUE under Schedule 3 delegation, nurses provide rapid, structured information that supports the veterinary surgeon’s clinical decision‑making. This not only speeds up triage and stabilisation but also ensures patients receive timely, targeted interventions.

The integration of nurse‑performed ultrasound into everyday practice reflects a broader shift in veterinary medicine: empowering nurses to work to the full extent of their legal scope. With repetition and training, these skills become second nature. Practices that embrace this approach benefit from improved efficiency, enhanced patient outcomes, and a more engaged nursing team.

Ultimately, ultrasound in the hands of veterinary nurses is not about replacing the vet’s role, but about strengthening collaboration. By capturing and reporting findings promptly, nurses help create a seamless diagnostic pathway where every member of the team contributes to the best possible care for the patient.

CPD Certificate

AFAST

Abdominal focused assessment: Primary aim is rapid detection of free abdominal fluid (blood, urine, bile, transudate/exudate). It guides stabilization, sampling (abdominocentesis), and surgical planning. Core windows include diaphragmatico‑hepatic (DH), spleno‑renal (SR), cysto‑colic (CC), and hepato‑renal (HR). Reporting involves binary calls (positive/negative free fluid per window and overall AFAST), fluid scoring (0–4 by window count and pocket size, noting echogenicity/clots), and escalation to the vet with images/clips for action.

B-lines lines in a VetBLUE protocol.

Home